東京の美容整形・もとび美容外科クリニック|新宿駅から4分

検索

もとび美容外科クリニックのSNSをフォローする

院長ブログ西尾 謙三郎

二重埋没法(3点連結埋没法)、目頭切開Z形成 6ヶ月後

今回のお客さんは埋没法と目頭切開をおこなったお客様です。
以前にも二重埋没法(裏止め2点止め)をおこなったのですが、1年で戻ってしまったとのことでした。
裏止めは表側を貫かないので腫れは少ないですが、戻りやすいという特徴があります。
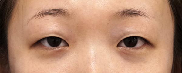
来院時のまぶたの状態はこのような感じでした。
二重埋没法(もとびアイプラチナム)、目頭切開Z形成 手術前 まぶたは厚ぼったくて一重ですね。
シュミレーションをしてみても二重ラインはつきにくい感じでした。
基本的には二重全切開が良いのですが、ご希望により、今回は強めの埋没法の3点連結止めをおこなうことになりました。
3点連結止めは韓国で良く行われている留め方で、戻りにくい二重埋没法です(下図)。
もとびアイプラチナム まぶたは良く動く部位ですが、1本の糸で編み込むので、力が分散されて安定したラインを保つことができ、二重が取れにくく安定しやすくなります。
以前に埋没法をしても戻ってしまったという方にはおすすめの埋没法になります。
また、目の幅を広くして目を大きくしたいとのことで、目頭切開もおこなうことになりました。

それでは6か月後の画像を見てもらいます。
(手術前)
二重埋没法(もとびアイプラチナム)、目頭切開Z形成 手術前 (3ヶ月後)
二重埋没法(もとびアイプラチナム)、目頭切開Z形成 6ヶ月後厚ぼったいまぶたに二重がしっかりつきましたね。
二重になったことで黒目やまつ毛が見えやすくなり、目が大きく明るくなっただけでなく、
目と眉の距離も近づいてバランスが良くなりました。
また、目頭切開では、隠れていた涙丘が見えるようになりまいした。
目の間の幅に注目すると術後は目の間が狭くなってそのぶん目の横幅が広くなったのが分かります。
もともと蒙古ひだが大きいわけではなかったので劇的変化ではありませんが、自然な変化です。
ちなみに、術前は37.5㎜あった眼間が36㎜になったので、目は左右で1.5㎜ぶん広くなりました。
自然な変化を希望されていたのでちょうど良い変化量だと思います。

二重で目の縦幅が広くなって、目頭切開で目の横幅が広くなったことで目全体が大きく明るくなりましたね。

今回の3点連結埋没法(もとびアイプラチナム)についてと、
目頭切開Z形成について詳しくは以下のページもご参考下さい。

内容:きらずに糸で二重を作ります。糸はまぶたの中に埋没されます。
料金:159,600~228,000円(税込)
リスク:一時的な腫れや内出血、ゴロゴロ感。後戻りのリスク
- END -

プロフィール

西尾 謙三郎 医師
院長 西尾 謙三郎 医師
20年以上の実績を持つ美容外科専門医。丁寧で繊細な施術でお客様の望む実現を目指す。
「お客様のもつ本来の美しさを引き出す」ことをモットーに「もとび」美容外科クリニックを設立。
[プロフィール詳細]

ブログカテゴリー

目 一覧
若返り 一覧

最新のブログ記事

月次アーカイブ

  • 2026年5月
  • 2026年4月
  • 2026年3月
  • 2026年2月
  • 2026年1月
  • 2025年12月
  • 2025年11月
  • 2025年10月
  • 2025年9月
  • 2025年7月
  • 2025年6月
  • 2025年5月
  • 2025年4月
  • 2025年3月
  • 2025年2月
  • 2025年1月
  • 2024年12月
  • 2024年11月
  • 2024年10月
  • 2024年9月
  • 2024年8月
  • 2024年7月
  • 2024年6月
  • 2024年5月
  • 2024年4月
  • 2024年3月
  • 2024年2月
  • 2024年1月
  • 2023年11月
  • 2023年10月
  • 2023年9月
  • 2023年8月
  • 2023年7月
  • 2023年6月
  • 2023年5月
  • 2023年4月
  • 2023年3月
  • 2022年10月
  • 2022年9月
  • 2022年8月
  • 2022年7月
  • 2022年6月
  • 2022年5月
  • 2022年4月
  • 2022年3月
  • 2022年2月
  • 2022年1月
  • 2021年12月
  • 2021年11月
  • 2021年10月
  • 2021年9月
  • 2021年8月
  • 2021年7月
  • 2021年6月
  • 2021年5月
  • 2021年4月
  • 2021年3月
  • 2021年2月
  • 2021年1月
  • 2020年12月
  • 2020年11月
  • 2020年10月
  • 2020年9月
  • 2020年8月
  • 2020年7月
  • 2020年6月
  • 2020年5月
  • 2020年4月
  • 2020年3月
  • 2020年2月
  • 2020年1月
  • 2019年12月
  • 2019年11月
  • 2019年10月
  • 2019年9月
  • 2019年8月
  • 2019年7月
  • 2019年6月
  • 2019年5月
  • 2019年4月
  • 2019年3月
  • 2019年2月
  • 2019年1月
  • 2018年12月
  • 2018年11月
  • 2018年10月
  • 2018年9月
  • 2018年8月
  • 2018年7月
  • 2018年6月
  • 2018年5月
  • 2018年4月
  • 2018年3月
  • 2018年2月
  • 2018年1月
  • 2017年12月
  • 2017年11月
  • 2017年10月
  • 2017年9月
  • 2017年8月
  • 2017年7月
  • 2017年6月
  • 2017年5月
  • 2017年4月
  • 2017年3月
  • 2017年2月
  • 2017年1月
  • 2016年12月
  • 2016年11月
  • 2016年10月
  • 2016年9月
  • 2016年8月
  • 2016年7月
  • 2016年6月
  • 2016年5月
  • 2016年4月
  • 2016年3月
  • 2016年2月
  • 2016年1月
  • 2015年12月
  • 2015年11月
  • 2015年10月
  • 2015年9月
  • 2015年8月
  • 2015年7月
  • 2015年6月
  • 2015年5月
  • 2015年4月
  • 2015年3月
  • 2015年2月
  • 2015年1月
  • 2014年12月
  • 2014年11月
  • 西尾 謙三郎 医師
    医師
    もとび美容外科クリニック 院長
    西尾 謙三郎
    経歴
    平成14年 札幌医科大学医学部医学科 卒業
    平成26年 もとび美容外科クリニック開院
    資格
    日本美容外科学会(JSAS)専門医
    アラガンボトックスビスタ 認定医
    所属学会
    日本美容外科学会(JSAPS)
    日本美容外科学会(JSAS)
    日本形成外科学会
    日本美容皮膚科学会
    日本加齢医師会
    日本レーザー医学会
    日本美容外科医師会
    20年以上の実績を持つ美容外科専門医。丁寧で繊細な施術でお客様の望む実現を目指す。
    「お客様のもつ本来の美しさを引き出す」ことをモットーに「もとび」美容外科クリニックを設立。
    | 院長ブログトップへ |

    当院では無料カウンセリングを実施しています

    経験豊富なスタッフが対応いたします

    お一人で悩まずに、お気軽にご相談ください

    関連する施術

    もとびアイプラチナム
    目頭切開(Z形成)

    ブログカテゴリー

    目 一覧
    若返り 一覧
    WEB予約 お電話で予約 LINE予約

    監修医師

    監修医師

    西尾 謙三郎 医師(院長) Kenzaburo Nishio

    20年以上の実績を持つ美容外科専門医。丁寧で繊細な施術でお客様の望む実現を目指す。 「お客様のもつ本来の美しさを引き出す」ことをモットーに「もとび」美容外科クリニックを設立。

    医師
    もとび美容外科クリニック 院長
    西尾 謙三郎
    経歴

    平成14年 札幌医科大学医学部医学科 卒業

    平成26年 もとび美容外科クリニック開院

    資格

    美容外科専門医(JSAS)

    日本アンチエイジング外科学会専門医

    アラガンボトックスビスタ 認定医

    所属学会

    日本美容外科学会(JSAPS)

    日本美容外科学会(JSAS)

    日本形成外科学会

    日本美容皮膚科学会

    日本加齢医師会

    日本レーザー医学会

    日本美容外科医師会

    詳細を見る
    西尾 謙三郎 医師(院長)
    西尾 謙三郎 医師(院長) Kenzaburo Nishio

    もとび美容外科クリニックのSNSをフォローする