東京の美容整形・もとび美容外科クリニック|新宿駅から4分

検索

もとび美容外科クリニックのSNSをフォローする

院長ブログ西尾 謙三郎

目の下のたるみもとって目元すっきり|表ハムラ法 1ヶ月後

今日の症例写真はハムラ法(表)です。
今回の症例の方は、目の下のクマが気になる、たるみもきになるということでご来院されました。
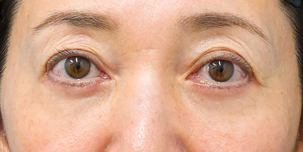
術前の状態はこのような感じでした。
(手術前)
目の下たるみ取り(表ハムラ) 術前目の下に凹凸くまがありますね。
たるみもややあります。
クマを治すだけなら脂肪取り・脂肪注入や裏ハムラがありますが、ご本人はたるみも気にされていたので目の下を切ってたるみも切除することになりました。
手術は表ハムラ法をおこないます。
表ハムラ法では、下まつ毛の際を切って、まず、裏ハムラ法のように膨らんだ脂肪や眼窩隔膜を凹みに移動させて目の下のクマをフラットにします。
そして、たるんだ皮膚や眼輪筋を切除しますが、同時にアッカンベーにならないように、眼輪筋を目の外側の骨膜に固定します。
そうすることでクマを改善させるだけでなく、たるみも切除して目の下の若返り効果を高めることができます。

では、1ヶ月後の表ハムラ法の症例写真を手術前と比較して見ていただきます。
(手術前)
目の下たるみ取り(表ハムラ) 術前(1か月後)目の下たるみ取り(表ハムラ) 1ヶ月後目の下の凹凸くまが改善して目元がすっきりしましたね。
同時に、目の下の小じわも改善してたるみも改善したのがわかります。
涙袋の眼輪筋は残すようにおこなっていますので涙袋の厚みも残っています。
全体に、目の下のクマが改善して、たるみも改善して目元がすっきりして若々しくなりました。
下まつ毛の下を切ったのですが、傷はどこを切ったかわからないですよね。
目の下の皮膚を切ると傷が目立ちそうで怖いと思われている方もいらっしゃいますが、目の下の傷はかなり目立ちにくいのでそこはあまり心配はいりません。

表ハムラ法は裏ハムラなどと同じように目の下を広範囲に剥離しますのでダウンタイムは2週間ほど見てもらいますが、たるみを切除することができて、クマだけでなく、しわを改善させることもできますので、目の下のたるみが気になる方では選択肢の一つとして考えていただくとよいと思います。

内容:下まぶたを切開して眼窩脂肪を移動させ皮膚のたるみも除去して目袋やクマを改善します。
料金:378,000~448,000円(税込)
リスク:一時的な腫れや内出血。目立ちにくいが傷が残る、外反のリスク
- END -

プロフィール

西尾 謙三郎 医師
院長 西尾 謙三郎 医師
20年以上の実績を持つ美容外科専門医。丁寧で繊細な施術でお客様の望む実現を目指す。
「お客様のもつ本来の美しさを引き出す」ことをモットーに「もとび」美容外科クリニックを設立。
[プロフィール詳細]

ブログカテゴリー

目 一覧
若返り 一覧

最新のブログ記事

月次アーカイブ

  • 2026年4月
  • 2026年3月
  • 2026年2月
  • 2026年1月
  • 2025年12月
  • 2025年11月
  • 2025年10月
  • 2025年9月
  • 2025年7月
  • 2025年6月
  • 2025年5月
  • 2025年4月
  • 2025年3月
  • 2025年2月
  • 2025年1月
  • 2024年12月
  • 2024年11月
  • 2024年10月
  • 2024年9月
  • 2024年8月
  • 2024年7月
  • 2024年6月
  • 2024年5月
  • 2024年4月
  • 2024年3月
  • 2024年2月
  • 2024年1月
  • 2023年11月
  • 2023年10月
  • 2023年9月
  • 2023年8月
  • 2023年7月
  • 2023年6月
  • 2023年5月
  • 2023年4月
  • 2023年3月
  • 2022年10月
  • 2022年9月
  • 2022年8月
  • 2022年7月
  • 2022年6月
  • 2022年5月
  • 2022年4月
  • 2022年3月
  • 2022年2月
  • 2022年1月
  • 2021年12月
  • 2021年11月
  • 2021年10月
  • 2021年9月
  • 2021年8月
  • 2021年7月
  • 2021年6月
  • 2021年5月
  • 2021年4月
  • 2021年3月
  • 2021年2月
  • 2021年1月
  • 2020年12月
  • 2020年11月
  • 2020年10月
  • 2020年9月
  • 2020年8月
  • 2020年7月
  • 2020年6月
  • 2020年5月
  • 2020年4月
  • 2020年3月
  • 2020年2月
  • 2020年1月
  • 2019年12月
  • 2019年11月
  • 2019年10月
  • 2019年9月
  • 2019年8月
  • 2019年7月
  • 2019年6月
  • 2019年5月
  • 2019年4月
  • 2019年3月
  • 2019年2月
  • 2019年1月
  • 2018年12月
  • 2018年11月
  • 2018年10月
  • 2018年9月
  • 2018年8月
  • 2018年7月
  • 2018年6月
  • 2018年5月
  • 2018年4月
  • 2018年3月
  • 2018年2月
  • 2018年1月
  • 2017年12月
  • 2017年11月
  • 2017年10月
  • 2017年9月
  • 2017年8月
  • 2017年7月
  • 2017年6月
  • 2017年5月
  • 2017年4月
  • 2017年3月
  • 2017年2月
  • 2017年1月
  • 2016年12月
  • 2016年11月
  • 2016年10月
  • 2016年9月
  • 2016年8月
  • 2016年7月
  • 2016年6月
  • 2016年5月
  • 2016年4月
  • 2016年3月
  • 2016年2月
  • 2016年1月
  • 2015年12月
  • 2015年11月
  • 2015年10月
  • 2015年9月
  • 2015年8月
  • 2015年7月
  • 2015年6月
  • 2015年5月
  • 2015年4月
  • 2015年3月
  • 2015年2月
  • 2015年1月
  • 2014年12月
  • 2014年11月
  • 西尾 謙三郎 医師
    医師
    もとび美容外科クリニック 院長
    西尾 謙三郎
    経歴
    平成14年 札幌医科大学医学部医学科 卒業
    平成26年 もとび美容外科クリニック開院
    資格
    日本美容外科学会(JSAS)専門医
    アラガンボトックスビスタ 認定医
    所属学会
    日本美容外科学会(JSAPS)
    日本美容外科学会(JSAS)
    日本形成外科学会
    日本美容皮膚科学会
    日本加齢医師会
    日本レーザー医学会
    日本美容外科医師会
    20年以上の実績を持つ美容外科専門医。丁寧で繊細な施術でお客様の望む実現を目指す。
    「お客様のもつ本来の美しさを引き出す」ことをモットーに「もとび」美容外科クリニックを設立。
    | 院長ブログトップへ |

    当院では無料カウンセリングを実施しています

    経験豊富なスタッフが対応いたします

    お一人で悩まずに、お気軽にご相談ください

    関連する施術

    目の下のたるみとり(ハムラ法)
    ハムラ法
    目の下のたるみとり(ハムラ法)

    ブログカテゴリー

    目 一覧
    若返り 一覧
    WEB予約 お電話で予約 LINE予約

    監修医師

    監修医師

    西尾 謙三郎 医師(院長) Kenzaburo Nishio

    20年以上の実績を持つ美容外科専門医。丁寧で繊細な施術でお客様の望む実現を目指す。 「お客様のもつ本来の美しさを引き出す」ことをモットーに「もとび」美容外科クリニックを設立。

    医師
    もとび美容外科クリニック 院長
    西尾 謙三郎
    経歴

    平成14年 札幌医科大学医学部医学科 卒業

    平成26年 もとび美容外科クリニック開院

    資格

    美容外科専門医(JSAS)

    日本アンチエイジング外科学会専門医

    アラガンボトックスビスタ 認定医

    所属学会

    日本美容外科学会(JSAPS)

    日本美容外科学会(JSAS)

    日本形成外科学会

    日本美容皮膚科学会

    日本加齢医師会

    日本レーザー医学会

    日本美容外科医師会

    詳細を見る
    西尾 謙三郎 医師(院長)
    西尾 謙三郎 医師(院長) Kenzaburo Nishio

    もとび美容外科クリニックのSNSをフォローする