20年以上の実績を持つ美容外科専門医。丁寧で繊細な施術でお客様の望む実現を目指す。 「お客様のもつ本来の美しさを引き出す」ことをモットーに「もとび」美容外科クリニックを設立。
【目の下のクマ】裏ハムラ法のダウンタイムを、症例写真の経過をご紹介しながら解説
作成日:2026.2.3
裏ハムラ法はまぶたの表側を切らずに目の下のクマを改善させる方法です。
まぶたの裏側から目の下の眼窩脂肪を移動させてクマの凹凸を改善させます。山を崩して谷を埋めるという手術ですね。
目の下の凹凸を改善させるクマ取り手術には他に脂肪とり・脂肪注入がありますが、裏ハムラと脂肪とり・脂肪注入の2つのクマとり手術は、現在よく行われているクマの2大治療になります。
くま取り手術といったら多くがこの2択になりますが、目の下の膨らみだけの方は目の下の脂肪取りだけで良いこともあります。
裏ハムラと脂肪とり・脂肪注入ですが、その比較については過去のコラムでいろいろお話ししているので興味がある人はそちらをご参考ください。
今回は、裏ハムラについてのお話です。
とくに、裏ハムラのダウンタイムについてフォーカスしてお話ししていこうと思います。
裏ハムラとは
裏ハムラのダウンタイムについてお話しする前に簡単に裏ハムラ法の手術について復習させてください。
裏ハムラ法は、先ほどお話ししたように、まぶたの裏がわ、アッカンベーの粘膜部分を内側から外側まで横にしっかり切開します。
そして、眼窩脂肪の上を剥離して目の下全体的に空間を作ります。
目の下のふくらみの原因の眼窩脂肪はこの図のように内側・真ん中・外側・最外側というような感じで分かれています。
この眼窩脂肪のふくらみを、目の下の凹み部分teartroughに移動させて凹凸を均します。
そうすることで目の下の凹凸をフラットにして目の下のクマを改善させます。
そんな治療が裏ハムラです。
ここでポイントとしては、裏ハムラは脂肪を移動させるために空間をつくらないといけないということです。
だから、目の下のクマ全体的に剥離して空間ができます。
ですから表に傷はつかないと言えども、わりとダメージがあります。
あとは、まぶたの裏側の隙間からのぞきこんで手術をするので、少しでもよく見えるように筋鈎をつかって引っ張るんですが、手術中ずっと切開した部分を引っ張り上げていたりするので、組織にずっと力が加わってさらにダメージがやや出やすいというのがあります。
脂肪とり・脂肪注入の場合はそこまで大きく剥離しませんし、組織に力を加えたりすることはあまりないので、裏ハムラは脂肪取り・脂肪注入に比べてダメージが大きくなります。
そしてそのぶん、ダウンタイムがやや長引きやすいというのがあります。
裏ハムラのダウンタイム
さて、そんな前提を知っていただいた上でこれから本題、裏ハムラのダウンタイムについて解説していこうと思います。
基本的に、裏ハムラのダウンタイムは1~2週間で見てもらっています。
一方で、脂肪とり・脂肪注入はダウンタイム1週間くらいで見てもらっていて、早い人は4,5日ということもあるので、裏ハムラは少し長くお休みをとってもらう必要があります。
ダウンタイム中は、目の下はむくんで腫れている状態です。
術後翌日から2,3日が特に腫れます。
2,3日以降、徐々に内出血も浮いてきて、皮膚がうす黄色くなり、場合によっては一部紫色になることもあります。
そんな裏ハムラのダウンタイムなんですが、症例写真を見ながらの方が分かりやすいと思いますので今回は御二方の症例写真をみながら解説さてもらいます。
裏ハムラダウンタイム症例写真1
まず一人目の方の経過を見てもらいましょう。一人目の方の手術直後の画像はこんな感じです。
内出血は一部ありますが、手術直後の腫れはそれほどではありませんね。
目は少し充血していたりします。
いかがでしょう。手術直後の腫れはこれくらいなので何とかなりそうな気もしますね。
SNSとかで手術直後から腫れませんよ的な感じでこういう画像が出ていたりするかもしれませんが、残念ながら、手術直後は腫れのピークではないんですね。
腫れは手術翌日が一番腫れて、徐々に腫れが落ち着いていく感じになります。
では、一人目の方の2日後はどんな感じでしょうか。
画像を見てもらいます。
このような感じです。結構腫れているのがわかりますね。
直後は良い感じでしたが、1日経つと目の下がこんな感じで腫れることが多いです。
裏ハムラは表に傷は見えないですが、目の下全体を剥離しますので、傷が治る過程でこんな感じで腫れるのはしょうがないことかとも思います。
炎症をなるべく抑えて腫れや痛みとか内出血のリスクをなるべく減らすために数日はアイスパックなどで冷やすのもありかと思います。
ただ、あんまり力を加えると傷によくないので軽く当てるくらいにするか、なんなら無理に冷やさなくても良いです。
あとは、まぶたの裏側を切るので最初は目やになどが出ることがありますが、目薬などで洗い流す感じが良いかと思います。
ただ、傷が安定する1,2週は無理は禁物なので、やっきになって洗ったり、力を加えたりはしなくて良いです。
術後は1~2週間くらいまでは血流が良くなるようなことは控えた方が良いです。
無理すると、内出血したり、炎症が強くなったり、うっ血して腫れやすくなったりする可能性がありますので。
あとは、しばらく経ったら暖めて血流を良くすると良いという話もありますが、顔はもともと血流が良い部分ですし、これも無理しなくても大丈夫です。
術後腫れが強いうちは冷やすのは良いですが、長く冷やし続けるのは良くないとは思います。
それでは、この方の1週間後はどんな感じになったのしょうか。見てもらいます。
こんな感じです。派手な腫れれはだいぶ落ち着きましたね。
何とかメイクしてごまかせるかなという感じですかね。
裏ハムラの腫れは、 1週間でもこの方よりも腫れが少ない方もいらっしゃいますし、ある程度落ち着くのに3週間かかる人もいらっしゃいます。
ダメージの軽い手術ではないのでダウンタイムに個人差があります。
なので、ダウンタイムは正確には読めませんが、最短で1週間、通常は2週間くらいは見ていただいた方が良いかと思います。
何となく経過のイメージなんとなくお分かりになりましたでしょうか。
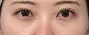
ちなみに、一人目の方のビフォアアフターです。
これは2か月後の画像ですね。
(術前)⇒(2か月後)
こんな感じで目の下の凹凸クマが改善しました。
目の下は皮下脂肪がなくて眼輪筋の色が透けて見えやすい所です。
今回の方も、もともとの目の下の色味がけっこうある方だったので、術後の目の下のクマの色のクマは少し残りました。
ただ、クマの凹凸の影に関しては改善して、目の下のクマがずいぶんすっきりして、目元がすっきりしたかと思います。
裏ハムラダウンタイム症例写真2
では、次に裏ハムラ後のダウンタイムの経過、二人目の方を見ていただきます。
2人目の方の手術直後の画像はこんな感じです。
目の下むくんでますね。
とくに右目の下が少し腫れてますね。
手術が終わって少し時間が経ってくるとこんな感じに腫れてくることがあります。
裏ハムラは目の下全体にスペースを作って脂肪を移動させる手術なので、目の下の空間に血がたまって血腫になるリスクがあります。
今回の方は血がたまっての腫れではなかったのですが、もし血腫ができた場合は、放置すると腫れが引くのに時間がかかったり、感染や拘縮などのリスクがあるので血腫の除去や洗浄をおこなったり圧迫したりする必要が出てきます。
今回の方は血腫ではないのでそのまま経過を見ました。
では1週間後の画像です。
目の下の腫れはかなり引いて、落ち着いてきましたね。
少し腫れは残っていますが、さらにもう1週間経つともっと腫れは落ち着いてスッキリしてきます。
メイクすればなんとか1週間お休みをとれば手術できなくはなさそうですね。
ただ、1週間だともう少し腫れが残っている人もいたりもするので、おやすみは長めにとるに越したことはありません。
では、二人目の方のビフォアアフターも観てもらいましょう。
(術前)⇒(1か月後)
いかがでしょうか。 術後は、目の下の凹凸のクマがフラットになってすっきりしましたね。
疲れた感じがなくなって若々しくなりました。 裏ハムラでしっかりクマ退治できましたね。
目の下脂肪取り・脂肪注入のダウンタイムが気になる方はこちらのコラムも参考にしてください。
まとめ
以上が裏ハムラ法のダウンタイムについてでした。
お分かりになりましたでしょうか。
裏ハムラ法は脂肪を移動させるので目の下のアプローチだけで凹凸クマを改善させることができますが(脂肪とり・脂肪注入のように太ももやお腹から脂肪を採取する必要はありません)、目の下全体を横に切開して脂肪を移動させる空間を作るため、剥離範囲が広くなりますのでダウンタイムは脂肪取り・脂肪注入より長くなってしまうのはしょうがないところです。
今までお話ししたようにダウンタイムは1~2週間でみていただきたいです。
ただ、3週間近くむくみが目立つこともあり個人差がありますのでダウンタイムには余裕を持っていただくのが良いと思います。
裏ハムラ法はじん帯を外して効果的に目の下の凹凸を改善させることができる良い手術ですが、ダウンタイムで言うと、少し余裕をもって見ていただくと良いかと思います。
以上になります。 このコラムが裏ハムラ法をお考えの方にご参考になれば幸いです。